金安区妇幼保健院生长发育和中医体质辨识 免费义诊活动!
儿童矮身材(身高低于同年龄、同性别、同种族儿童平均身高2个标准差或第3百分位)不仅影响孩子的心理健康和社交能力,还可能提示潜在的内分泌或遗传代谢疾病。在医学领域,判断儿童是否属于矮小身材,可以通过身高发育曲线来评估。这些标准化的身高曲线是基于大量健康儿童的群体数据绘制的,并且按照年龄和性别进行了区分。
儿童生长发育与中医体质辨识密切相关,通过辨识儿童体质,可以更好地了解其生长发育特点和潜在健康风险,从而采取针对性的调理措施,促进儿童健康成长。中医认为,体质是人体先天禀赋和后天调养共同作用的结果,决定了个体对环境的适应能力、疾病易感性以及生长发育的潜力。不同体质的儿童在生长速度、身体形态、免疫力等方面可能存在差异,合理的体质调理有助于挖掘生长潜能,保障生长发育的均衡与健康。
在社会发展与科学育儿观念广泛传播的当下,身高、体重越来越成为家长们在育儿过程中的关注重点。同时,儿童生长发育问题却也愈发显著,为切实提高家长对儿童生长发育知识的认知水平以及让家长了解孩子的体质,全方位促进儿童健康成长,金安区妇幼保健院儿保科将于2025年12月13日下午开展免费骨龄评估及中医体质辨识测评义诊活动,同时提供相应的健康咨询及制定个性化的中医调养方案。活动具体内容如下:
义诊内容:
1、矮小、性早熟,免费测骨龄
2、免费中医体质辨识检测评估及报告解读,提供全面的中医调养方案(检查前不需特殊准备,按照我们的排号顺序进行检测即可)。
义诊时间:2025年12月13日(周六)
下午14:00-17:30
义诊地点:金安区妇幼保健院/六安市儿童医院三楼儿童保健科生长发育门诊(312诊室)、中医保健门诊(308诊室)
六安市长安北路1123号
义诊对象(骨龄测评):
1、孩子处于身高标准表的“偏矮”或“矮小”范围;
2、本次活动仅针对5-15周岁儿童青少年(身材偏矮、性早熟);
3、孩子每年身高增长不到5厘米;
4、身高低于同年龄、同性别、同种族儿童平均身高2个标准差;
5、男孩9岁之前,女孩7.5岁之前,出现性早熟,生长发育异常迹象的孩子。
义诊对象(中医体质测评):
1、健康儿童:有日常保健、改善或增强体质、提高机体免疫力、疾病预防需求的儿童。
2、高危儿童:早产儿、低出生体重儿、体弱儿、生长发育缓慢/偏异儿童。
3、患病儿童:尤其适用于食欲不佳、积滞、疳积、夜眠不安、大便干结或溏薄、反复湿疹、容易过敏、生长迟缓、多汗盗汗等儿童。
4、本次活动仅针对3周岁以上儿童。
报名方式:
² 现场报名:当天现场就诊报名。
² 线上报名:扫描下方二维码进群报名。


家长报名成功后,均需在医生指引下按顺序现场签到取号并测量身高体重,有序拍骨龄。
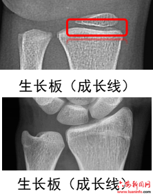
1、什么是骨龄?
人的生长发育有两个“年龄”:生活年龄(年纪)和生物年龄(骨龄)。骨龄就是指骨头的年龄,每个阶段骨骼的成熟度都不同。骨龄可真实地反应儿童的生物年龄,根据骨龄可客观地评价儿童生长发育水平,一般通过儿童的左手正位X光片来评估。想让孩子有一个理想的成年身高,应尽早定期检测骨龄,并进行身高体重管理。


尤其存在以下几个情况的孩子是需要去测一下骨龄的:
① 身高明显落后同年龄、同性别的孩子,尤其是达到或接近矮小症的标准。
② 出生时身高、体重低于正常水平第10百分位,或家族身高偏低。
③ 身体发育过早的孩子。
④ 超重和肥胖的孩子。
2、什么是矮小症?矮小症有什么危害?
身高低于同种族、同地区、同年龄、同性别儿童平均身高两个标准差(-2SD)或第三百分位(P3),称之为矮小症。矮小症标准的儿童成年身高男性可能长不到161cm,女性可能长不到150cm。
当您发现您孩子的生长速率出现以下情况时,请尽早带您的孩子前来就诊咨询:
² 婴幼儿期(3岁以下)生长速率<7厘米/年;
² 儿童期(3岁-青春期)生长速率<5厘米/年;
² 青春期生长速率<6厘米/年。
女孩身高对照表




男孩身高对照表




3、什么是性早熟?性早熟有什么危害?
性早熟指女童7岁半前乳房发育或10岁前月经来潮,男童9岁前睾丸发育。性早熟的儿童不仅影响儿童终身高,还可能会引发孩子的身体、心理问题。因此,需要家长高度重视,以便早发现,早诊断,早治疗。
当您的孩子有以下情况时,请尽早带您的孩子前来就诊咨询:


注:图片来源网络,如有侵权,联系删除
咨询电话:0564-3332534(儿保科)
4、什么是中医体质辨识及调护
(1)什么是体质辨识?
中医体质辨识即以人的体质为认知对象,从体质状态及不同体质分类的特性,把握其健康与疾病的整体要素与个体差异,制定防治原则,选择相应的治疗、预防方法,从而进行“因人而异”的干预措施。
(2)为什么要进行体质辨识?
人各有质,体病相关;体质平和,健康之源,体质偏颇,百病之因。中医体质辨识为中医体质与易发健康风险的宏观对应开辟了新的标准化途径,在此基础上综合运用“体病相关、体质可分、体质可调”的中医体质学说理论和中医调理方案,可以实现“未病先防”和“既病防变”的治未病目标,为儿童提供有针对性的个性化预防保健方案,并可以指导疾病诊治。


图片来源于网络
(3)体质辨识与常规体检有何不同?
体检更全面:覆盖西医体检盲点,为亚健康人群多把一道关。
体检更深度:通过体质辨识,推断寻找体检指标正常,身体状态却异常感觉的原因。
辨证调理与治疗:个性化干预方式,纠正体质偏颇。
(4)体质辨识检测安全可靠么?
中医体质辨识检查过程安全无创,结果精准。我科将智能中医体质辨识仪与传统望、闻、问相结合,通过科技赋能与人文关怀的双重保障,为儿童健康管理注入精准化、个性化的新功能。


根据体质类型,量身定制调理方案。包括中药茶饮、食疗、运动处方、推拿按摩、拔罐、足浴等中医传统适宜技术。这些技术旨在疏通经络、预防疾病、提高身体免疫力。
(5)哪些人群适合体质辨识?
中医体质辨识仪可服务于广大人群,只要你在乎健康,就可以借助中医体质辨识仪的基本诊断为健康养生找对路。服务对象:1、所有健康人群及儿童:有日常保健、改善或增强体质、提高机体免疫力、疾病预防需求的儿童。2、高危儿童:早产儿、低出生体重儿、体弱儿、生长发育缓慢/偏异儿童。3、患病儿童:尤其适用于食欲不佳、积滞、疳积、夜眠不安、大便干结或溏薄、反复湿疹、容易过敏、生长迟缓、多汗盗汗等儿童。4、中医体质偏颇人群、亚健康人群、病前状态人群、慢性病患者需实施健康管理成年人群及其他关注健康的特殊人群(如育龄妇女、孕前调理者、老年人延年益寿者等)。